²»·²³É¾Í·Ç·²ÖúÁ¦¿Í»§µÇ¶¥¡¶Immunity¡·£º½ÒÃØ·Î²¿¹²ÉúÕæ¾úÓÕ·¢·ÎÏËά»¯µÄлúÖÆ
·ÎÏËά»¯£¨Pulmonary Fibrosis, PF£©ÊÇÒ»ÖÖÒԷμäÖʾÙÐÐÐÔñ£ºÛÐγÉÎªÌØÕ÷µÄÖÂËÀÐÔºôÎüϵͳ¼²²¡£¡£¡£¡£¡£¡£¡£¡£¬£¬£¬£¬£¬£¬Æäϸ°ûÍâ»ùÖʵÄÌ«¹ý³Á»ý»áÑÏÖØË𺦻¼Õߵķβ¿½á¹¹ÓëºôÎü¹¦Ð§¡£¡£¡£¡£¡£¡£¡£¡£¼ÈÍùÑо¿Åú×¢£¬£¬£¬£¬£¬£¬·ÎÅݾÞÊÉϸ°û£¨alveolar macrophages, AMs£©µÄÒì³£»£»£»£»£»£»î»¯ÔÚÏËά»¯±¬·¢Éú³¤ÖÐʩչҪº¦×÷Ó㬣¬£¬£¬£¬£¬¿Éͨ¹ýÔö½ø³ÉÏËάϸ°ûÔöÖ³Óë»î»¯£¬£¬£¬£¬£¬£¬¼ÓËÙ²¡ÀíÀú³Ì¡£¡£¡£¡£¡£¡£¡£¡£
CÐÍÄý¼¯ËØÊÜÌ壨C-type lectin receptors, CLRs£©Ö÷Òª±í´ïÓÚËèϵϸ°ûÍâò£¬£¬£¬£¬£¬£¬Êǵ÷¿Ø·Î²¿ÃâÒßÓ¦´ðµÄÖ÷Ҫģʽʶ±ðÊÜÌå¡£¡£¡£¡£¡£¡£¡£¡£ÆäÖУ¬£¬£¬£¬£¬£¬Dectin-1£¨»ùÒò£ºCLEC7A£©×÷Ϊʶ±ðÕæ¾ú¦Â-ÆÏ¾ÛÌǵÄÒªº¦Ä£Ê½Ê¶±ðÊÜÌ壬£¬£¬£¬£¬£¬Ôڷβ¿¿¹Õæ¾úÃâÒßÖÐÕ¼ÓÐÖ÷Ҫְλ¡£¡£¡£¡£¡£¡£¡£¡£³¦µÀ¹²ÉúÕæ¾úÒѱ»Ö¤Êµ¿ÉÓ°ÏìÑ×Ö¢·´Ó¦£¬£¬£¬£¬£¬£¬È»¶ø·Î²¿³£×¤¹²ÉúÕæ¾úȺÂäÔÚPF±¬·¢Éú³¤ÖÐËùÊÎÑݵÄÏêϸ½ÇÉ«£¬£¬£¬£¬£¬£¬ÈÔÖªÖ®ÉõÉÙ¡£¡£¡£¡£¡£¡£¡£¡£ÌØÊâÊÇ£¬£¬£¬£¬£¬£¬·Î²¿¹²ÉúÕæ¾úÊÇ·ñͨ¹ýDectin-1½éµ¼AMs±¬·¢ÃâÒß´úÐ»ÖØ±à³Ì£¬£¬£¬£¬£¬£¬´Ó¶øÇý¶¯ÆäÏò´ÙÏËά»¯±íÐÍת»¯£¬£¬£¬£¬£¬£¬ÕâÒ»»úÖÆÁ´ÌõÉÐȱ·¦ÏµÍ³ÐÔÑо¿¡£¡£¡£¡£¡£¡£¡£¡£
²»·²³É¾Í·Ç·²¿ÆÑÐÍŶÓÐÖúÉîÛÚÊжùͯҽԺÑо¿ÍŶÓϵͳÆÊÎöÁËÕæ¾ú΢Éú̬ÓëÃâÒß´úл»¥×÷ÔÚ·ÎÏËά»¯Öеĵ÷¿Ø×÷Óᣡ£¡£¡£¡£¡£¡£¡£¸ÃÑо¿ÒÔ¡¶Dectin-1 facilitates lung fungal-mediated pulmonary fibrosis¡·ÎªÌâ½ÒÏþÓÚ¹ú¼ÊÆÚ¿¯¡¶Immunity¡·£¬£¬£¬£¬£¬£¬ÎªÃ÷È·PFµÄÃâÒß»úÖÆÌṩÁËеÄÀíÂÛÒÀ¾Ý¡£¡£¡£¡£¡£¡£¡£¡£

Ò»¡¢½¹µã·¢Ã÷Óë»úÖÆ¸ÅÊö
Ñо¿ÍŶÓÈ¡µÃÁËÍ»ÆÆÐÔ·¢Ã÷£º·Î²¿¹²ÉúÕæ¾úÊÇÍÆ¶¯·ÎÏËά»¯µÄÖ÷Òª¡°Ä»ºóÍÆÊÖ¡±£¬£¬£¬£¬£¬£¬¶øDectin-1ÔòÊÇÒªº¦µÄ¡°ÐźŷŴóÆ÷¡±£¡
½¹µã»úÖÆ¸ÅÊö£ºÔÚ·ÎÏËά»¯±¬·¢Ê±£¬£¬£¬£¬£¬£¬Ò»ÖÖÌØ¶¨µÄ·Î²¿¹²ÉúÕæ¾ú£¨Engyodontium£©Í¨¹ýÍŽáAMsÍâòµÄDectin-1ÊÜÌ壬£¬£¬£¬£¬£¬¼¤»îÁËÏÂÓεÄRaf1ÐźÅͨ·£¨ÖµµÃ×¢ÖØµÄÊÇ£¬£¬£¬£¬£¬£¬ÕâÒ»Àú³Ì¾¹È»ÈƹýÁ˾µäµÄCARD9ͨ·£©¡£¡£¡£¡£¡£¡£¡£¡£ÕâÒ»Ðźż¶Áª·´Ó¦´ÙʹԱ¾´¦ÓÚ¡°¾²Ï¢×´Ì¬¡±µÄAMs±¬·¢¡°ºÚ»¯¡±£¬£¬£¬£¬£¬£¬×ª±äΪ´ÙÏËά»¯±íÐÍ£¨´ó×ÚÉøÍ¸Arginase-1ºÍTGF-¦Â£©¡£¡£¡£¡£¡£¡£¡£¡£ÕâЩ´ÙÏËά»¯Òò×ÓËæºó¼¤»îÁ˳ÉÏËάϸ°û£¬£¬£¬£¬£¬£¬×îÖÕµ¼ÖÂÑÏÖØµÄ·ÎÏËά»¯¡£¡£¡£¡£¡£¡£¡£¡£

Ñо¿½áÂÛʾÒâͼ
¶þ¡¢Ñо¿Ë¼Ð÷

Èý¡¢Ñо¿Àú³ÌÓëʵÑéЧ¹ûÆÊÎö
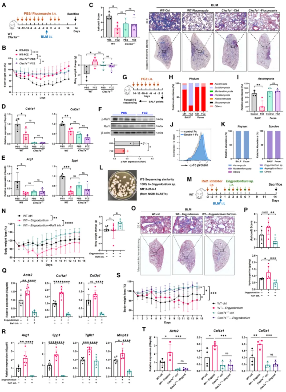
1.ÁÙ´²Õ÷ÏóÓë»ùÒòÇóýÑéÖ¤£ºDectin-1ÊÇÏËά»¯µÄ¡°×¦ÑÀ¡±
ΪϵͳÆÀ¹ÀCLRsÔÚ·ÎÏËά»¯ÖеÄ×÷Ó㬣¬£¬£¬£¬£¬Ñо¿ÕßÊ×ÏÈÆÊÎöÁËÈËÀàIPF»¼ÕßscRNA-seqÊý¾Ý£¨GSE157691£©£¬£¬£¬£¬£¬£¬·¢Ã÷CLEC7AÔÚCLRs¼Ò×åÖбí´ï×îΪÏÔÖø£¬£¬£¬£¬£¬£¬²¢ÌØÒìÐÔ¸»¼¯ÓÚAMs¡£¡£¡£¡£¡£¡£¡£¡£Æä±í´ï²»µ«ÔÚIPF·Î×éÖ¯ÖÐÏÔÖøÉϵ÷£¬£¬£¬£¬£¬£¬»¹ÓëAMs±ê¼Ç»ùÒòMRC1¼°¶àÖÖ½ºÔºÍÏËά»¯Ïà¹Ø»ùÒò³ÊÕýÏà¹Ø¹ØÏµ¡£¡£¡£¡£¡£¡£¡£¡£ÔÚ²©À´Ã¹ËØ£¨BLM£©ÓÕµ¼µÄСÊó·ÎÏËά»¯Ä£×ÓÖУ¬£¬£¬£¬£¬£¬Clec7aÔÚ¾²Ï¢¼°»î»¯AMsÖоùÏÔ×ÅÉý¸ß£¬£¬£¬£¬£¬£¬²¢ÓëÏËά»¯Ïà¹Ø»ùÒò±í´ïÆ×Ò»Ö¡£¡£¡£¡£¡£¡£¡£¡£¹¦Ð§Ñо¿Åú×¢£¬£¬£¬£¬£¬£¬Dectin-1ȱʧ£¨Clec7a?/?£©¿ÉÏÔÖø»º½âBLMÓÕµ¼µÄ·ÎÏËά»¯£¬£¬£¬£¬£¬£¬ÌåÏÖΪÉúÑÄÂÊÌá¸ß¡¢½ºÔ³Á»ýïÔ̼°×éÖ¯½á¹¹ËðÉ˼õÇá¡£¡£¡£¡£¡£¡£¡£¡£×ªÂ¼×éÓ뵥ϸ°ûÆÊÎö½øÒ»²½Õ¹ÏÖ£¬£¬£¬£¬£¬£¬Clec7aȱʧÒÖÖÆÁË´ÙÏËά»¯AMsÏà¹Ø»ùÒò±í´ï£¬£¬£¬£¬£¬£¬Í¬Ê±Ïµ÷TGF-¦ÂÐźÅͨ·¼°Ï¸°ûÍâ»ùÖÊÏà¹Ø»ùÒò¼¯¡£¡£¡£¡£¡£¡£¡£¡£·ÖÑ¡AMsЧ¹ûÒà֤ʵArg1ºÍTgfb1±í´ï½µµÍ¡£¡£¡£¡£¡£¡£¡£¡£ÕâÌáÐÑDectin-1ÔÚ·ÎÏËά»¯Àú³ÌÖÐʩչҪº¦µ÷¿Ø×÷Óᣡ£¡£¡£¡£¡£¡£¡£

ͼ Dectin-1ÇóýÏÔÖøÄæ×ª·ÎÏËά»¯Àú³Ì
2.ϸ°ûÔËÆø×·×Ù£ºDectin-1Çý¶¯¾ÞÊÉϸ°û¡°´ÙÏËת»¯¡±
scRNA-seqºÍ¾ÞÊÉϸ°û×ªÒÆÊµÑéÕ¹ÏÖ£¬£¬£¬£¬£¬£¬ÔÚÏËά»¯Àú³ÌÖУ¬£¬£¬£¬£¬£¬¾²Ï¢×´Ì¬µÄ·ÎÅݾÞÊÉϸ°ûÐèÒªÒÀÀµDectin-1Ðźţ¬£¬£¬£¬£¬£¬²Å»ª¡°×ªÐÍ¡±Îª¸ß±í´ïArginase-1ºÍTGF-¦ÂµÄ´ÙÏËά»¯¾ÞÊÉϸ°û¡£¡£¡£¡£¡£¡£¡£¡£ÈôÊÇʹÓÃDectin-1Þ׿¹¼Á£¨Laminarin£©£¬£¬£¬£¬£¬£¬ÔòÄÜÓÐÓÃ×è¶ÏÕâÒ»¶ñÐÔת»¯¡£¡£¡£¡£¡£¡£¡£¡£
3.¾¾³öÒªº¦Í¨Â·£ºÒÀÀµRaf1£¬£¬£¬£¬£¬£¬¶ø·ÇCARD9
¼ÈÍùÑо¿ÆÕ±éÒÔΪ£¬£¬£¬£¬£¬£¬Dectin-1Ö÷Ҫͨ¹ý¾µäµÄCARD9ͨ·½éµ¼ÏÂÓÎÐźÅתµ¼¡£¡£¡£¡£¡£¡£¡£¡£È»¶ø£¬£¬£¬£¬£¬£¬±¾Ñо¿Í¨¹ý»ùÒòÇóýÑéÖ¤·¢Ã÷£¬£¬£¬£¬£¬£¬Card9ȱʧ²¢Î´ÏÔÖøÓ°ÏìBLMÓÕµ¼µÄ·ÎÏËά»¯Àú³Ì£¬£¬£¬£¬£¬£¬ÌáÐÑÆäÔڸü²²¡ÖеÄ×÷ÓÃÓÐÏÞ¡£¡£¡£¡£¡£¡£¡£¡£Ïà½Ï֮ϣ¬£¬£¬£¬£¬£¬Dectin-1µÄÁíÒ»ÏÂÓηÖ×ÓRaf1ÔÚÏËά»¯µ÷¿ØÖÐʩչҪº¦×÷ÓãºÎÞÂÛ½ÓÄÉRaf1ÒÖÖÆ¼ÁGW5074¸ÉÔ¤£¬£¬£¬£¬£¬£¬ÕÕ¾ÉÔÚ¾ÞÊÉϸ°ûÖÐÑ¡ÔñÐÔÇóýRaf1£¬£¬£¬£¬£¬£¬¾ù¿ÉÏÔÖø¼õÇáÌåÖØÏ½µ¡¢½ºÔ³Á»ý¼°´ÙÏËά»¯»ùÒò±í´ï£¬£¬£¬£¬£¬£¬ÇÒ¸ÃЧӦÒÀÀµÓÚDectin-1±£´æ¡£¡£¡£¡£¡£¡£¡£¡£±ðµÄ£¬£¬£¬£¬£¬£¬¾ÞÊÉϸ°ûºÄ½ßÓë»ØÊäʵÑ飬£¬£¬£¬£¬£¬ÒÔ¼°Óë³ÉÏËάϸ°ûµÄÌåÍâ¹²×÷ÓýÑо¿½øÒ»²½Åú×¢£¬£¬£¬£¬£¬£¬×è¶ÏDectin-1-Raf1ÐźÅÖá¿ÉÒÖÖÆ³ÉÏËάϸ°û»î»¯¼°ÏËά»¯Ïà¹Ø»ùÒò±í´ï¡£¡£¡£¡£¡£¡£¡£¡£ÕâЩЧ¹ûÅú×¢£¬£¬£¬£¬£¬£¬ÔÚ·ÎÏËά»¯Åä¾°Ï£¬£¬£¬£¬£¬£¬Dectin-1Ö÷Ҫͨ¹ýÒ»ÌõCARD9·ÇÒÀÀµ¡¢Raf1ÒÀÀµµÄ·Ç¾µäÐźÅͨ·ʩչ×÷Ó㬣¬£¬£¬£¬£¬´Ó¶øÐÞÕýÁ˼ÈÓÐÈÏÖª£¬£¬£¬£¬£¬£¬²¢Õ¹ÏÖÁËеÄÒªº¦µ÷¿Ø»úÖÆ¡£¡£¡£¡£¡£¡£¡£¡£

ͼ Ëø¶¨Raf1£¡·Ç¾µäͨ·µÄȫз¢Ã÷
4.Ëø¶¨ÕæÐ×£º¾¾³ö·Î²¿ÌØÒìÐÔ¹²ÉúÕæ¾ú
ΪÃ÷È·Dectin-1µÄ¹¦Ð§ÐÔÅäÌåȪԴ£¬£¬£¬£¬£¬£¬Ñо¿ÕßÊ×ÏÈͨ¹ý¿¹Õæ¾úÒ©Îï·ú¿µßò£¨FCZ£©É¨³ýСÊó·Î²¿Õæ¾ú£¬£¬£¬£¬£¬£¬·¢Ã÷¿ÉÏÔÖø»º½âBLMÓÕµ¼µÄ·ÎÏËά»¯£¬£¬£¬£¬£¬£¬°üÀ¨ÌåÖØÏ½µ¼õÇá¼°´ÙÏËά»¯Òò×Ó±í´ï½µµÍ£¬£¬£¬£¬£¬£¬¶ø¸ÃЧӦÔÚClec7a?/?СÊóÖÐÏûÊÅ£¬£¬£¬£¬£¬£¬ÌáÐÑÕæ¾ú×÷ÓÃÒÀÀµDectin-1ÐźÅͨ·¡£¡£¡£¡£¡£¡£¡£¡£½øÒ»²½ÍŽáDectin-1-FcÈÚºÏÂѰס°´¹ÂÚ¡±Õ½ÂÔÓëITS²âÐòÆÊÎö£¬£¬£¬£¬£¬£¬Åжϳö·Î²¿¹²ÉúÕæ¾úEngyodontium sp.¿É×÷ΪҪº¦ÅäÌåȪԴ¡£¡£¡£¡£¡£¡£¡£¡£¹¦Ð§ÑéÖ¤Åú×¢£¬£¬£¬£¬£¬£¬½«¸ÃÕæ¾úÖØÐ¶¨Ö²ÓÚСÊó·Î²¿ºó£¬£¬£¬£¬£¬£¬¿ÉÏÔÖø¼ÓÖØÏËά»¯±íÐÍ£¬£¬£¬£¬£¬£¬ÇÒ¸ÃЧӦÒÀÀµDectin-1-Raf1ÐźÅÖᣬ£¬£¬£¬£¬£¬ÔÚDectin-1ȱʧÅ侰ϲ»ÔÙ·ºÆð¡£¡£¡£¡£¡£¡£¡£¡£

ͼ ÆÆ°¸ÁË£¡·Î²¿¹²ÉúÕæ¾úEngyodontium sp.ÏÖ³öÕæÏà
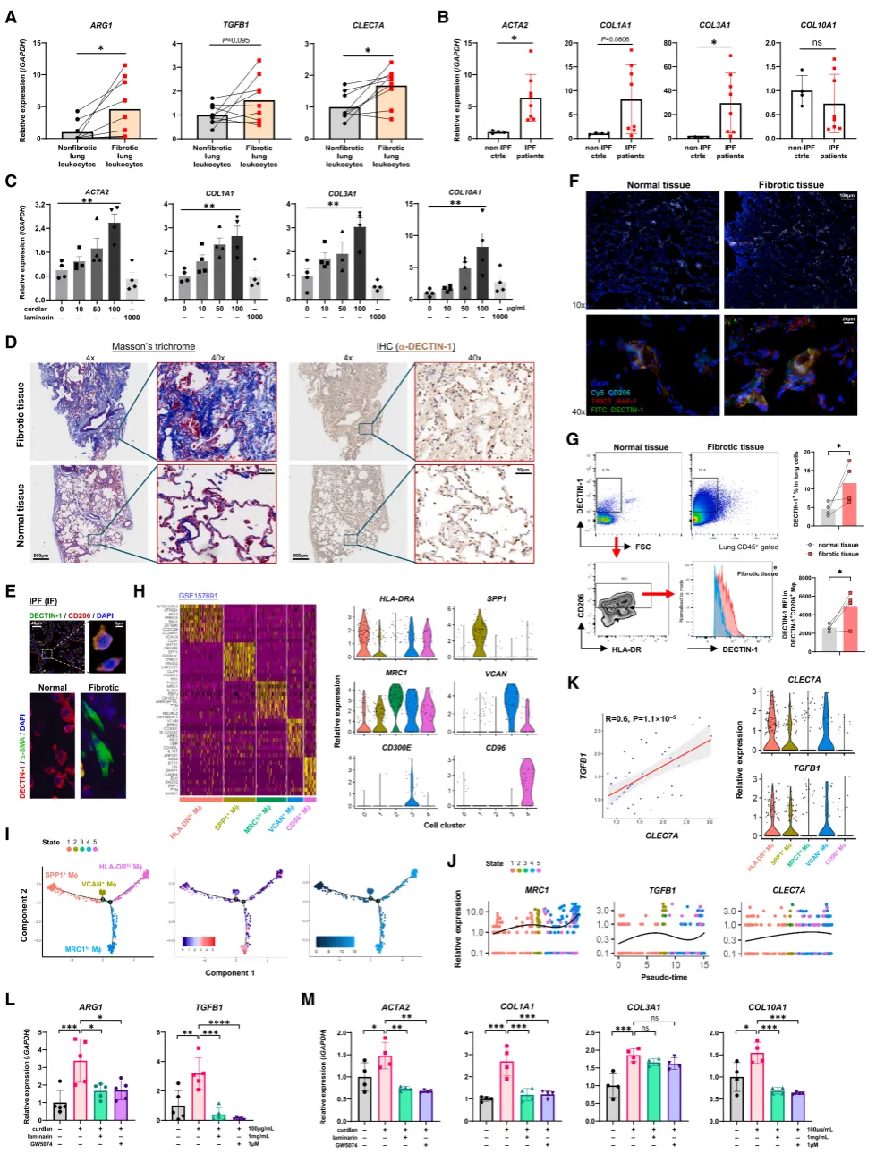
5.ÁÙ´²×ª»¯ÑéÖ¤£ºÔÚÈËÀàIPFÑù±¾ÖÐÖØÏÖ»úÖÆ
ÔÚ»úÖÆÑо¿»ù´¡ÉÏ£¬£¬£¬£¬£¬£¬×÷Õß½øÒ»²½ÔÚÈËÀàIPFÑù±¾ÖÐÑéÖ¤Dectin-1ÐźŵÄÁÙ´²Ïà¹ØÐÔ¡£¡£¡£¡£¡£¡£¡£¡£×é֯ѧÓëÃâÒßÓ«¹âЧ¹ûÏÔʾ£¬£¬£¬£¬£¬£¬ÏËά»¯ÇøÓòÖÐDECTIN-1?CD206?AMsÏÔÖø¸»¼¯£¬£¬£¬£¬£¬£¬²¢Óë¦Á-SMA?³ÉÏËάϸ°ûϸÃܽӴ¥£¬£¬£¬£¬£¬£¬ÇÒDECTIN-1ÓëRAF1ÔÚ¿Õ¼äÉϹ²¶¨Î»£¬£¬£¬£¬£¬£¬ÌáÐѸÃͨ·ÔÚÈËÌåÄÚ´¦ÓÚ»îԾ״̬¡£¡£¡£¡£¡£¡£¡£¡£µ¥Ï¸°ûת¼×éÓëÄâʱÐòÆÊÎöÕ¹ÏÖ£¬£¬£¬£¬£¬£¬MRC1hi AMsÖð²½ÏòSPP1?µÈ´ÙÏËά»¯ÑÇȺת»¯£¬£¬£¬£¬£¬£¬ÇÒCLEC7AÓëTGFB1±í´ï³ÊÕýÏà¹Ø¡£¡£¡£¡£¡£¡£¡£¡£¹¦Ð§ÉÏ£¬£¬£¬£¬£¬£¬IPF»¼ÕßBALϸ°ûÉÏÇå¿ÉÏÔÖøÓÕµ¼³ÉÏËάϸ°ûÖÐACTA2¡¢COL1A1µÈ»ùÒò±í´ï£»£»£»£»£»£»Dectin-1¼¤¶¯¼ÁCurdlan½øÒ»²½ÔöÇ¿¸ÃЧӦ£¬£¬£¬£¬£¬£¬¶øÞ׿¹¼ÁLaminarin»òRaf1ÒÖÖÆ¼ÁGW5074Ôò¿ÉÓÐÓÃ×è¶Ï¡£¡£¡£¡£¡£¡£¡£¡£ÌåÍâʵÑéÒà֤ʵ£¬£¬£¬£¬£¬£¬¼¤»îDectin-1-Raf1ͨ·¿ÉÔö½øÈËÔ´AMs»ñµÃ´ÙÏËά»¯±íÐÍ¡£¡£¡£¡£¡£¡£¡£¡£

ͼ »Ø¹éÁÙ´²£ºÔÚÈËÀàIPF»¼ÕßÖлñµÃÍêÉÆÓ¡Ö¤
ËÄ¡¢ÓÅÊÆÓëÁ¢Òìµã
±¾Ñо¿Ê×´ÎÃ÷È·¡°·Î²¿¾Ö²¿¹²ÉúÕæ¾ú¡±ÔÚ·ÎÏËά»¯±¬·¢ÖеÄÒªº¦ÇýÐж¯Ó㬣¬£¬£¬£¬£¬½«Ñо¿ÊÓ½ÇÍØÕ¹ÖÁ·Î²¿Î¢Éú̬£¬£¬£¬£¬£¬£¬¸»ºñÁ˶Լ²²¡±¬·¢ÆøÖƵÄÕûÌåÊìϤ¡£¡£¡£¡£¡£¡£¡£¡£
»úÖÆÁ¢Òì
·¢Ã÷ÁËDectin-1ÔÚ·ÎÏËά»¯Àú³ÌÖв¢·ÇÒÀÀµ¾µäµÄCARD9ͨ·£¬£¬£¬£¬£¬£¬¶øÊÇͨ¹ýÒ»Ìõ¡°CARD9·ÇÒÀÀµ¡¢Raf1ÒÀÀµ¡±µÄ·Ç¾µäÐźÅͨ·ʩչ×÷Ó㬣¬£¬£¬£¬£¬´Ó¶øÍØÕ¹ÁËCLRsÐźÅתµ¼ÍøÂçµÄÀíÂÛϵͳ¡£¡£¡£¡£¡£¡£¡£¡£
ת»¯Ç±Á¦Ã÷È·
ÔÚ»úÖÆÆÊÎöµÄ»ù´¡ÉÏ£¬£¬£¬£¬£¬£¬Ñо¿½øÒ»²½Ìá³öÁË¿ÉÐеĸÉԤƫÏò£¬£¬£¬£¬£¬£¬°üÀ¨¿¹Õæ¾úÖÎÁÆ¡¢Dectin-1Þ׿¹¼Á£¨ÈçLaminarin£©ÒÔ¼°Raf1°ÐÏòÒÖÖÆ¼ÁµÈ£¬£¬£¬£¬£¬£¬ÎªÏÖÔÚȱ·¦ÓÐÓÃÖÎÁÆÊֶεķÎÏËά»¯ÌṩÁ˾ßÓÐDZÁ¦µÄÈ«ÐÂÖÎÁÆÕ½ÂÔ¡£¡£¡£¡£¡£¡£¡£¡£
-
²»·²³É¾Í·Ç·²ÖúÁ¦¿Í»§µÇ¶¥¡¶Immunity¡·£º½ÒÃØ·Î²¿¹²ÉúÕæ¾úÓÕ·¢·ÎÏËά»¯µÄлúÖÆ2026-03-31
-
²»·²³É¾Í·Ç·²ÓëÐìÖÝÒ½¿Æ´óѧÁ¥ÊôҽԺǩÊðÕ½ÂÔÏàÖú2026-01-30
-
ѧÊõÊ¢ÑçÆôг̣¡ÈÏ֪ҽѧÖ麣ÐÐÔ²ÂúÂäÄ»£¬£¬£¬£¬£¬£¬´Å¼õÁ¿ÊÖÒÕÒýÁìÉñ¾ÍËÐÐÐÔ¼²²¡ÕïÁÆË¢ÐÂ2026-01-26
-
ЯÊÖ¹²½¨ÂýÒҸηÀ¿Ø¡°³¤ÄþÑù°å¡±£ü²»·²³É¾Í·Ç·²¼ÓÈ볤ÄþÇøÒ½·ÀÐͬÊÂÇéÍÆ½ø»áôßÂýÒÒ¸Îר²¡ÖÎÀíÊÔµãÆô¶¯»á2026-01-26
-
¾Û»á»ØÊ× | ²»·²³É¾Í·Ç·²£¦ÀÊçìͬ´´¹²¸°ÀàÆ÷¹Ù¹¤ÒµÊ¢»á£¬£¬£¬£¬£¬£¬¼ûÖ¤ÐÐÒµÀï³Ì±®Ê±¿Ì2025-12-18